To assess the prevalence of residual cardiovascular pathology by cardiac MRI (CMR), ambulatory rhythm monitoring, and cardiopulmonary exercise testing (CPET) in patients ∼6 months after multisystem inflammatory disease in children (MIS-C).
Patients seen for MIS-C follow-up were referred for CMR, ambulatory rhythm monitoring, and CPET ∼6 months after illness. Patients were included if they had ≥1 follow-up study performed by the time of data collection. MIS-C was diagnosed on the basis of the Centers for Disease Control and Prevention criteria. Myocardial injury during acute illness was defined as serum Troponin-I level >0.05 ng/mL or diminished left ventricular systolic function on echocardiogram.
Sixty-nine of 153 patients seen for MIS-C follow-up had ≥1 follow-up cardiac study between October 2020–June 2022. Thirty-seven (54%) had evidence of myocardial injury during acute illness. Of these, 12 of 26 (46%) had ≥1 abnormality on CMR, 4 of 33 (12%) had abnormal ambulatory rhythm monitor results, and 18 of 22 (82%) had reduced functional capacity on CPET. Of the 37 patients without apparent myocardial injury, 11 of 21 (52%) had ≥1 abnormality on CMR, 1 of 24 (4%) had an abnormal ambulatory rhythm monitor result, and 11 of 15 (73%) had reduced functional capacity on CPET. The prevalence of abnormal findings was not statistically significantly different between groups.
The high prevalence of abnormal findings on follow-up cardiac studies and lack of significant difference between patients with and without apparent myocardial injury during hospitalization suggests that all patients treated for MIS-C warrant cardiology follow-up.
Cardiovascular involvement is common in multisystem inflammatory disease in children. Studies have shown abnormalities on follow-up cardiac MRI in patients with myocardial injury during illness. The extent of residual cardiovascular pathology in patients with and without myocardial injury remains unknown.
Patients both with and without myocardial injury during acute illness had abnormal findings on follow-up cardiac studies with similar prevalence. All patients treated for multisystem inflammatory disease in children warrant cardiology follow-up.
Multisystem inflammatory syndrome in children (MIS-C) is a postinfectious hyperinflammatory response to severe acute respiratory syndrome coronavirus 2 (SARS-CoV-2) infection that typically occurs several weeks after acute infection. It is characterized by fever, elevated inflammatory markers, cytokine storm, and involvement of multiple organs.1–3 Up to 80% of patients have cardiovascular involvement, including abnormal laboratory markers, systolic and diastolic dysfunction, abnormal strain, coronary artery aneurysms (CAAs), and conduction system abnormalities.4–6 Cardiogenic and vasodilatory shock are common, potentially requiring inotropic support, but rarely mechanical circulatory support.3,4,7
Most patients appear to make a full clinical recovery.1,5,8–10 However, the prevalence and severity of long-term cardiovascular sequelae remain unknown. This may have important implications for activity restrictions and longer-term follow-up. Several studies have assessed midterm (1–9 months postdischarge) cardiac MRI (CMR) findings in patients who had evidence of cardiac involvement during acute illness. Although some have shown evidence of edema or fibrosis in a minority of patients, others have demonstrated no significant abnormalities.11–16 Few studies have assessed the prevalence of abnormal CMR findings in patients both with and without evidence of myocardial injury during acute illness.11,17 Furthermore, little is known about other residual cardiovascular pathology, including abnormal exercise capacity and risk for arrhythmia.
The primary purpose of this study was to assess the prevalence of residual cardiovascular pathology in patients treated for MIS-C by CMR, ambulatory rhythm monitoring, and cardiopulmonary exercise stress testing (CPET) at a median time of 7 to 8 months after hospitalization. Our secondary aim was to compare the prevalence of these findings in patients with evidence of myocardial injury during hospitalization versus those without evidence of myocardial injury.
Methods
Patient Population
The study was approved by the institutional review board of Children’s Hospital Los Angeles (CHLA). All patients seen in the cardiology clinic at CHLA for MIS-C follow-up were included if they had at least 1 follow-up study (CMR, ambulatory rhythm monitoring, or CPET) between October 2020 and June 2022. One patient found to have an atrial arrhythmia during admission that later required ablation was excluded. MIS-C was diagnosed on the basis of the Centers for Disease Control and Prevention criteria.18 All patients had positive SARS-CoV-2 serum antibody.1 Patients were defined as having myocardial injury during acute illness if they had a serum Troponin-I of >0.05 ng/mL or diminished left ventricular (LV) function by ejection fraction (left ventricular ejection fraction [LVEF]) or fractional shortening (FS) on echocardiogram. All patients seen for follow-up were restricted from strenuous exercise from the time of hospital discharge until follow-up testing was completed.
Clinical Data
We abstracted clinical data from each patient’s electronic medical record, including demographic factors, anthropometric measurements, need for intensive care, medications, laboratory markers of myocardial stress, and laboratory evidence of SARS-CoV-2 infection. Race and ethnicity were self-reported and were included to better understand whether certain populations were more likely to be affected by MIS-C and associated complications. We assessed inpatient electrocardiograms (ECGs) for ST- or T-wave segment abnormalities, conduction abnormalities, ectopy, and arrhythmia.
Echocardiography
Standard two-dimensional echocardiography was performed according to American Society of Echocardiography guidelines.19 Systolic dysfunction was defined as LVEF <55% or FS <29%. On the basis of Boston Children’s Hospital z scores,20 coronary artery sizes were classified as z score ≤2: normal; >2 to 2.5: coronary artery dilation; ≥2.5 to 5: small CAA; ≥5 to 10: medium CAA; and ≥10 or absolute measurement ≥8 mm: giant CAA. We recorded worst LVEF, worst FS, and highest coronary artery z score during hospitalization. We also evaluated these measurements on the last echocardiogram before discharge and at a 6- to 8-week outpatient follow-up visit.
Outpatient Follow-Up
Patients were referred for CMR at ∼6 months after acute illness if they were able to undergo the procedure without sedation. Younger patients who required anesthesia were referred for CMR if there was clinical indication, including history of decreased systolic function, history of complex or giant CAA, or, in 1 case, in combination with a clinically indicated brain MRI. Patients were also referred for CPET at ∼6 months after acute illness if they were developmentally able to participate in the testing. An ambulatory rhythm monitor was placed at the time of either CMR, CPET, or follow-up clinic visit.
Cardiac MRI
CMR was performed on a 1.5 Tesla Philips Achieva scanner before and after a 0.1 mL/kg intravenous gadolinium infusion. Imaging was performed with patients awake and with breath holding if capable. Otherwise, images were obtained freely breathing with multiple signal averages to compensate for respiratory motion. Retrospective ECG gating was performed to compensate for cardiac motion. Ventricular volumes and EFs were calculated from short-axis cine images using Simpson’s method. T1 relaxation time pre and postcontrast (indicative of edema, hyperemia, or fibrosis), T2 relaxation time (indicative of edema), and extracellular volume (ECV) (indicative of edema, hyperemia, or fibrosis in the extracellular space) were measured on short-axis images of the LV using parametric mapping. Late gadolinium enhancement (LGE) (indicative of fibrosis) was evaluated on short-axis and 4-chamber images 10 minutes after contrast administration. CAAs were evaluated on three-dimensional steady-state free precession images. Precontrast T1 >1068 milliseconds, T2 >59 milliseconds, and ECV >30% were considered elevated on the basis of published normative values for a 1.5T Philips scanner.21,22
Ambulatory Heart Rhythm Monitoring
Ambulatory heart rhythm monitoring was performed with a Zio patch monitor (iRhythm Technologies, San Francisco, CA) worn at home for up to 14 days. All results were interpreted by an electrophysiologist (M.S.). Minimum, maximum, and average heart rate (HR), burden of ectopy, and occurrence of arrhythmia were assessed. Results were classified as abnormal for ≥3 beats of atrial or ventricular tachycardia; intermediate for accelerated idioventricular rhythm (AIVR), ventricular couplets, or elevated average HR for age; or normal for isolated atrial or ventricular ectopy accounting for <1% of total heart beats or presence of atrial couplets with normal average HR for age.
Cardiopulmonary Exercise Stress Test
CPET was performed using an upright cycle ergometer for patients with height ≥135 cm or treadmill for those <135 cm. Measurement of oxygen uptake and carbon dioxide output at rest and exercise was performed using a CareFusion Vmax metabolic cart (CareFusion, San Diego, CA). Preexercise spirometry was performed. HR was measured using a Cardiosoft 12-lead ECG system (CardioSoft, Houston, TX). Blood pressures were measured before, during, and after exercise using the Suntech Tango M2 (SunTech Medical, Inc, Morrisville, NC). Peak HR, respiratory exchange ratio (RER), and minute ventilation/carbon dioxide production slope were recorded. For patients with an adequate RER (>1.09), peak oxygen uptake and percent-predicted were also recorded. Peak oxygen uptake of <80% predicted was considered abnormal and reflective of reduced functional capacity. In patients who achieved a peak HR ≥180 beats per minute, the ECG tracing was assessed for ST-segment and T-wave changes and presence of ectopy with exercise. Studies were excluded for patients who neither achieved an adequate RER nor peak HR. Stress echocardiogram was performed for patients who performed CPET using the cycle ergometer. Ventricular function was assessed at rest, and augmentation of myocardial wall segments was assessed during exercise.
Statistics
We performed all statistical analyses using JMP Pro statistical software version 16 (SAS, Carey, NC). Descriptive statistics are expressed as frequency counts and percentages for categorial variables. Continuous variables are expressed as mean (SD) for normally distributed variables or median with interquartile range for nonnormally distributed variables. We assessed normality using the Shapiro-Wilk test. For comparison of continuous variables between patients with myocardial injury and those without myocardial injury, we performed a 2-sided student’s t test and 95% confidence interval for normally distributed continuous variables and Wilcoxon rank-sum test for nonnormally distributed variables. For comparison of categorical variables, we performed Pearson’s χ2 test and odds ratio. Fisher’s exact test was performed in cases where at least 1 cell had a count <5. The threshold for significance was set at α = .05 for all tests.
Results
One hundred fifty-three patients were seen at least once after hospitalization during the study period. Fifty-one patients were lost to follow-up (33% with myocardial injury) and 33 patients had testing performed or pending after data analysis was completed. Sixty-nine patients had at least 1 follow-up cardiac study performed and were included in the analysis. Demographic information is shown in Table 1. Baseline cardiac data from initial hospitalization and 6 to 8-week follow-up are shown in Table 2.
Demographic Information
| . | All Patients, n = 69 . | No Myocardial Injury, n = 32 (46%) . | Myocardial Injury, n = 37 (54%) . | P . |
|---|---|---|---|---|
| Age (y) | 10 (4.6) | 8.9 (4.4) | 10.9 (4.5) | .07 |
| Sex | .76 | |||
| Male | 44 (64%) | 21 (66%) | 23 (62%) | |
| Female | 25 (36%) | 11 (34%) | 14 (37%) | |
| Race/ethnicity | .24 | |||
| Hispanic | 52 (75%) | 22 (69%) | 30 (81%) | |
| White | 5 (7%) | 3 (9%) | 2 (5%) | |
| Black | 2 (3%) | 1 (3%) | 1 (3%) | |
| Asian American | 1 (1%) | 1 (3%) | 0 (0%) | |
| Multiple | 3 (4%) | 2 (6%) | 1 (3%) | |
| Unknown | 6 (9%) | 3 (9%) | 3 (9%) | |
| Weight at admission (kg) | 43.3 (IQR 25–64.5) | 35.5 (IQR 23.4–56.1) | 51.3 (IQR 33.8–77.8) | .03 |
| Height at admission (cm) | 142 (IQR 125–161.8) | 132.3 (IQR 122.3–154.7) | 147.3 (IQR 131.5–164.3) | .07 |
| BMI at admission (kg/m2) | 21.4 (IQR 17.5–26.1) | 19.9 (IQR 16–22.6) | 23.3 (IQR 17.9–28.9) | .06 |
| BMI category | .44 | |||
| Normal | 31 (45%) | 17 (53%) | 14 (38%) | |
| Overweight | 12 (17%) | 5 (16%) | 7 (19%) | |
| Obese | 26 (38%) | 10 (31%) | 16 (43%) | |
| SARS-CoV-2 PCR | .35 | |||
| Positive | 12 (18%) | 4 (13%) | 8 (22%) | |
| Negative | 56 (82%) | 28 (88%) | 28 (78%) | |
| SARS-CoV-2 IgG antibody | — | |||
| Positive | 69 (100%) | 32 (100%) | 37 (100%) | |
| Negative | 0 (0%) | 0 (0%) | 0 (0%) |
| . | All Patients, n = 69 . | No Myocardial Injury, n = 32 (46%) . | Myocardial Injury, n = 37 (54%) . | P . |
|---|---|---|---|---|
| Age (y) | 10 (4.6) | 8.9 (4.4) | 10.9 (4.5) | .07 |
| Sex | .76 | |||
| Male | 44 (64%) | 21 (66%) | 23 (62%) | |
| Female | 25 (36%) | 11 (34%) | 14 (37%) | |
| Race/ethnicity | .24 | |||
| Hispanic | 52 (75%) | 22 (69%) | 30 (81%) | |
| White | 5 (7%) | 3 (9%) | 2 (5%) | |
| Black | 2 (3%) | 1 (3%) | 1 (3%) | |
| Asian American | 1 (1%) | 1 (3%) | 0 (0%) | |
| Multiple | 3 (4%) | 2 (6%) | 1 (3%) | |
| Unknown | 6 (9%) | 3 (9%) | 3 (9%) | |
| Weight at admission (kg) | 43.3 (IQR 25–64.5) | 35.5 (IQR 23.4–56.1) | 51.3 (IQR 33.8–77.8) | .03 |
| Height at admission (cm) | 142 (IQR 125–161.8) | 132.3 (IQR 122.3–154.7) | 147.3 (IQR 131.5–164.3) | .07 |
| BMI at admission (kg/m2) | 21.4 (IQR 17.5–26.1) | 19.9 (IQR 16–22.6) | 23.3 (IQR 17.9–28.9) | .06 |
| BMI category | .44 | |||
| Normal | 31 (45%) | 17 (53%) | 14 (38%) | |
| Overweight | 12 (17%) | 5 (16%) | 7 (19%) | |
| Obese | 26 (38%) | 10 (31%) | 16 (43%) | |
| SARS-CoV-2 PCR | .35 | |||
| Positive | 12 (18%) | 4 (13%) | 8 (22%) | |
| Negative | 56 (82%) | 28 (88%) | 28 (78%) | |
| SARS-CoV-2 IgG antibody | — | |||
| Positive | 69 (100%) | 32 (100%) | 37 (100%) | |
| Negative | 0 (0%) | 0 (0%) | 0 (0%) |
Race and ethnic group were self-reported. BMI, body mass index; IgG, immunoglobulin G; IQR, interquartile range; PCR, polymerase chain reaction; —, not applicable.
Baseline Cardiac Data
| . | All Patients, n = 69 . | No Myocardial Injury, n = 32 (46%) . | Myocardial Injury, n = 37 (54%) . | P . |
|---|---|---|---|---|
| Inotropic support | 27 (39%) | 5 (16%) | 22 (60%) | .002 |
| Peak BNP (pg/mL)a | 608 (IQR 261.8–1277.5) | 360 (IQR 135.5–784.5) | 1050 (IQR 446–2030) | .001 |
| Elevated Tn-I | 29 of 65 (45%) | 0 of 28 (0%) | 29 of 37 (78%) | <.0001 |
| Peak Tn-I (ng/mL)b | — | — | 0.21 (IQR 0.09–1.32) | — |
| ≥1 ECG abnormality | 29 of 62 (48%) | 7 of 26 (27%) | 22 of 36 (61%) | .01 |
| ECG findings | ||||
| Normal | 32 (52%) | 18 (69%) | 14 (39%) | |
| Abnormal ST- or T-wave segment | 15 (24%) | 2 (8%) | 13 (36%) | |
| PR segment depression | 1 (2%) | 0 (0%) | 1 (3%) | |
| Prolonged PR interval | 10 (16%) | 2 (8%) | 8 (22%) | |
| Second-degree AV block (Mobitz I) | 1 (2%) | 0 (0%) | 1 (3%) | |
| RBBB or QRS prolongation | 3 (5%) | 1 (4%) | 2 (6%) | |
| Prolonged QTc | 11 (18%) | 4 (15%) | 7 (19%) | |
| Ectopy | 1 (2%) | 0 (0%) | 1 (3%) | |
| Arrhythmia | 1 (2%) | 0 (0%) | 1 (3%) | |
| Decreased LV systolic function on inpatient echo | 25 (36%) | 0 (0%) | 25 (68%) | .0001 |
| Coronary artery abnormality on inpatient echo | ||||
| Dilation | 8 of 68 (12%) | 3 of 31 (10%) | 5 of 7 (14%) | 0.999 |
| Any aneurysm | 26 of 68 (38%) | 11 of 31 (36%) | 15 of 37 (41%) | .24 |
| Small | 19 | 7 | 12 | |
| Medium | 4 | 1 | 3 | |
| Giant | 3 | 3 | 0 | |
| Decreased LV systolic function on 8-wk follow-up echo | 1 (1%) | 0 (0%) | 1 (3%) | 0.999 |
| Coronary artery abnormality on 8-wk follow-up echo | ||||
| Dilation | 3 (4%) | 0 (0%) | 3 (8%) | .62 |
| Any aneurysm | 5 (7%) | 4 (13%) | 1 (3%) | .32 |
| Small | 1 | 1 | 0 | |
| Medium | 3 | 2 | 1 | |
| Giant | 1 | 1 | 0 | |
| Symptoms at 8-wk follow-up | ||||
| Any symptom | 15 (22%) | 4 (13%) | 11 (30%) | .14 |
| Chest pain | 6 | 2 | 4 | |
| Palpitations | 3 | 0 | 3 | |
| Exertional dyspnea | 3 | 1 | 2 | |
| Fatigue | 3 | 1 | 2 |
| . | All Patients, n = 69 . | No Myocardial Injury, n = 32 (46%) . | Myocardial Injury, n = 37 (54%) . | P . |
|---|---|---|---|---|
| Inotropic support | 27 (39%) | 5 (16%) | 22 (60%) | .002 |
| Peak BNP (pg/mL)a | 608 (IQR 261.8–1277.5) | 360 (IQR 135.5–784.5) | 1050 (IQR 446–2030) | .001 |
| Elevated Tn-I | 29 of 65 (45%) | 0 of 28 (0%) | 29 of 37 (78%) | <.0001 |
| Peak Tn-I (ng/mL)b | — | — | 0.21 (IQR 0.09–1.32) | — |
| ≥1 ECG abnormality | 29 of 62 (48%) | 7 of 26 (27%) | 22 of 36 (61%) | .01 |
| ECG findings | ||||
| Normal | 32 (52%) | 18 (69%) | 14 (39%) | |
| Abnormal ST- or T-wave segment | 15 (24%) | 2 (8%) | 13 (36%) | |
| PR segment depression | 1 (2%) | 0 (0%) | 1 (3%) | |
| Prolonged PR interval | 10 (16%) | 2 (8%) | 8 (22%) | |
| Second-degree AV block (Mobitz I) | 1 (2%) | 0 (0%) | 1 (3%) | |
| RBBB or QRS prolongation | 3 (5%) | 1 (4%) | 2 (6%) | |
| Prolonged QTc | 11 (18%) | 4 (15%) | 7 (19%) | |
| Ectopy | 1 (2%) | 0 (0%) | 1 (3%) | |
| Arrhythmia | 1 (2%) | 0 (0%) | 1 (3%) | |
| Decreased LV systolic function on inpatient echo | 25 (36%) | 0 (0%) | 25 (68%) | .0001 |
| Coronary artery abnormality on inpatient echo | ||||
| Dilation | 8 of 68 (12%) | 3 of 31 (10%) | 5 of 7 (14%) | 0.999 |
| Any aneurysm | 26 of 68 (38%) | 11 of 31 (36%) | 15 of 37 (41%) | .24 |
| Small | 19 | 7 | 12 | |
| Medium | 4 | 1 | 3 | |
| Giant | 3 | 3 | 0 | |
| Decreased LV systolic function on 8-wk follow-up echo | 1 (1%) | 0 (0%) | 1 (3%) | 0.999 |
| Coronary artery abnormality on 8-wk follow-up echo | ||||
| Dilation | 3 (4%) | 0 (0%) | 3 (8%) | .62 |
| Any aneurysm | 5 (7%) | 4 (13%) | 1 (3%) | .32 |
| Small | 1 | 1 | 0 | |
| Medium | 3 | 2 | 1 | |
| Giant | 1 | 1 | 0 | |
| Symptoms at 8-wk follow-up | ||||
| Any symptom | 15 (22%) | 4 (13%) | 11 (30%) | .14 |
| Chest pain | 6 | 2 | 4 | |
| Palpitations | 3 | 0 | 3 | |
| Exertional dyspnea | 3 | 1 | 2 | |
| Fatigue | 3 | 1 | 2 |
AV, atrioventricular; BNP, b-type natriuretic peptide; IQR, interquartile range; QTc, corrected QT interval; RBBB, right bundle branch block; Tn-I, Troponin-I; —, not applicable.
One b-type natriuretic peptide value of >5000 was excluded from calculation in all patients and myocardial injury groups.
Negative Troponin-I (reported as <0.05) was excluded from calculation.
As expected, the group with myocardial injury had a higher peak b-type natriuretic peptide and more frequently required inotropic support. There was not a significant difference in the presence of coronary artery dilation or CAAs between groups during admission or at 6 to 8-week follow-up. Of the patients with evidence of myocardial injury, 78% had elevated Troponin-I during admission and 68% had evidence of diminished LVEF on echocardiogram. LVEF normalized in all but 14% before discharge and in all but 1 patient at 2-month follow-up.
CMR
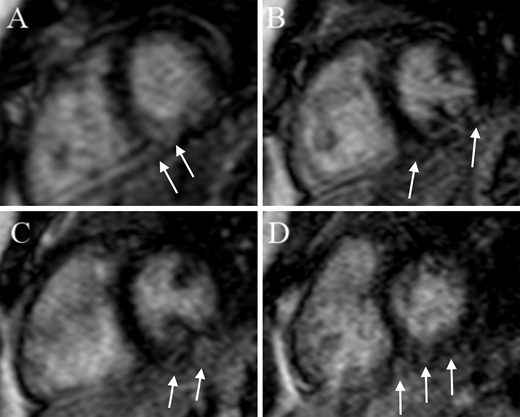
Forty-seven patients (26 with myocardial injury, 21 without) underwent CMR at a mean of 7.2 months after hospitalization. Results are shown in Table 3. Eleven (52%) without myocardial injury and 12 (46%) with myocardial injury had at least 1 abnormality on CMR (odds ratio 0.78 [0.25–2.47], P = .77). One patient, who did not have myocardial injury, had reduced LVEF. Elevated ECV was the most common abnormality (38%), followed by elevated native T1 (19%), and presence of LGE (13%). Only 1 patient had elevated T2. There was not a significant difference between the 2 groups in the prevalence of elevated native T1, elevated T2, elevated ECV, LGE, or CAA. Figure 1 demonstrates representative images of a patient with LGE.
Follow-up Cardiac Study Results
| . | All Patients . | No Myocardial Injury . | Myocardial Injury . | Odds Ratio or Mean Difference (95% CI) . | P . |
|---|---|---|---|---|---|
| CMR | n = 47 | n = 21 | n = 26 | — | — |
| Time to CMR (mo) | 7.2 (IQR 5.7–9.3) | 7.2 (IQR 5.6–9.5) | 7.2 (IQR 5.7–9.7) | — | .86 |
| ≥1 CMR abnormality | 23 (49%) | 11 (52%) | 12 (46%) | 0.78 (0.25–2.47) | .77 |
| LVEF (%) | 62.6 (7.0) | 63.0 (7.4) | 59.9 (IQR 57.1–67.9) | — | .74 |
| Native T1 (ms) | 1044.0 (33.7) | 1052.2 (41.9) | 1037.6 (24.6) | −14.59 (−36.23 to 7.05) | .18 |
| Elevated T1 | 9 (19%) | 6 (29%) | 3 (12%) | 0.32 (0.07–1.51) | .26 |
| T2 (ms) | 50 (IQR 47.9–53.9) | 51.4 (3.7) | 49.4 (IQR 46.9–52.1) | — | .08 |
| Elevated T2 | 1 (2%) | 1 (5%) | 0 (0%) | — | .44 |
| ECV (%) | 28.7 (3.1) | 29.1 (2.9) | 28.6 (IQR 24.6–30.6) | — | .1 |
| Elevated ECV | 18 (38%) | 10 (48%) | 8 (31%) | 0.49 (0.15–1.61) | .24 |
| LGE | 6 (13%) | 2 (10%) | 4 (15%) | 1.7 (0.28–10.5) | .68 |
| CAA | 2 (4%) | 2 (10%) | 0 (0%) | — | .2 |
| Ambulatory rhythm monitor | n = 57 | n = 24 | n = 33 | — | |
| Time to ambulatory rhythm monitor (mo) | 8 (IQR 6.0–10.7) | 8 (IQR 5.7–11.2) | 7.9 (IQR 6.3–10.5) | — | .98 |
| Normal | 44 (77%) | 22 (92%) | 22 (67%) | — | .09 |
| Intermediate | 8 (14%) | 1 (4%) | 7 (21%) | — | — |
| Abnormal | 5 (9%) | 1 (4%) | 4 (12%) | — | — |
| CPET | n = 46 | n = 19 | n = 27 | — | — |
| Time to CPET (mo) | 8.1 (2.7) | 8 (2.7) | 8.1 (2.8) | 0.14 (−1.5 to 1.8) | .90 |
| Peak HR (beats per min) | 189.6 (12.2) | 192.2 (9.7) | 187.9 (13.5) | −4.32 (−11.23 to 2.58) | .21 |
| RER | 1.24 (0.09) | 1.27 (0.09) | 1.23 (0.09) | −0.05(−0.11 to 0.02) | .14 |
| VE/VCO2 | 27.5 (2.1) | 28.3 (2.2) | 27.0 (1.9) | −1.24 (−2.7 to 0.22) | .09 |
| VO2 (mL/kg per min) | 31.3 (8.2) | 33.0 (8.8) | 30.2 (7.8) | −2.83 (−8.79 to 3.12) | .34 |
| VO2 % predicted (%) | 64 (15.2) | 68.5 (15.6) | 61.1 (14.6) | −7.36 (−18.02 to 3.30) | .17 |
| Reduced functional capacity | 29 of 37 (78%) | 11 of 15 (73%) | 18 of 22 (82%) | 1.63 (0.34–7.91) | .69 |
| ST/T wave changes | 0 (0%) | 0 (0%) | 0 (0%) | — | — |
| Ectopy during peak exercise or recovery | 2 (4%) | 0 (0%) | 2 (7%) | — | .50 |
| Abnormal stress echo | 1 of 39 (3%) | 0 of 14 (0%) | 1 of 25 (4%) | — | 0.999 |
| . | All Patients . | No Myocardial Injury . | Myocardial Injury . | Odds Ratio or Mean Difference (95% CI) . | P . |
|---|---|---|---|---|---|
| CMR | n = 47 | n = 21 | n = 26 | — | — |
| Time to CMR (mo) | 7.2 (IQR 5.7–9.3) | 7.2 (IQR 5.6–9.5) | 7.2 (IQR 5.7–9.7) | — | .86 |
| ≥1 CMR abnormality | 23 (49%) | 11 (52%) | 12 (46%) | 0.78 (0.25–2.47) | .77 |
| LVEF (%) | 62.6 (7.0) | 63.0 (7.4) | 59.9 (IQR 57.1–67.9) | — | .74 |
| Native T1 (ms) | 1044.0 (33.7) | 1052.2 (41.9) | 1037.6 (24.6) | −14.59 (−36.23 to 7.05) | .18 |
| Elevated T1 | 9 (19%) | 6 (29%) | 3 (12%) | 0.32 (0.07–1.51) | .26 |
| T2 (ms) | 50 (IQR 47.9–53.9) | 51.4 (3.7) | 49.4 (IQR 46.9–52.1) | — | .08 |
| Elevated T2 | 1 (2%) | 1 (5%) | 0 (0%) | — | .44 |
| ECV (%) | 28.7 (3.1) | 29.1 (2.9) | 28.6 (IQR 24.6–30.6) | — | .1 |
| Elevated ECV | 18 (38%) | 10 (48%) | 8 (31%) | 0.49 (0.15–1.61) | .24 |
| LGE | 6 (13%) | 2 (10%) | 4 (15%) | 1.7 (0.28–10.5) | .68 |
| CAA | 2 (4%) | 2 (10%) | 0 (0%) | — | .2 |
| Ambulatory rhythm monitor | n = 57 | n = 24 | n = 33 | — | |
| Time to ambulatory rhythm monitor (mo) | 8 (IQR 6.0–10.7) | 8 (IQR 5.7–11.2) | 7.9 (IQR 6.3–10.5) | — | .98 |
| Normal | 44 (77%) | 22 (92%) | 22 (67%) | — | .09 |
| Intermediate | 8 (14%) | 1 (4%) | 7 (21%) | — | — |
| Abnormal | 5 (9%) | 1 (4%) | 4 (12%) | — | — |
| CPET | n = 46 | n = 19 | n = 27 | — | — |
| Time to CPET (mo) | 8.1 (2.7) | 8 (2.7) | 8.1 (2.8) | 0.14 (−1.5 to 1.8) | .90 |
| Peak HR (beats per min) | 189.6 (12.2) | 192.2 (9.7) | 187.9 (13.5) | −4.32 (−11.23 to 2.58) | .21 |
| RER | 1.24 (0.09) | 1.27 (0.09) | 1.23 (0.09) | −0.05(−0.11 to 0.02) | .14 |
| VE/VCO2 | 27.5 (2.1) | 28.3 (2.2) | 27.0 (1.9) | −1.24 (−2.7 to 0.22) | .09 |
| VO2 (mL/kg per min) | 31.3 (8.2) | 33.0 (8.8) | 30.2 (7.8) | −2.83 (−8.79 to 3.12) | .34 |
| VO2 % predicted (%) | 64 (15.2) | 68.5 (15.6) | 61.1 (14.6) | −7.36 (−18.02 to 3.30) | .17 |
| Reduced functional capacity | 29 of 37 (78%) | 11 of 15 (73%) | 18 of 22 (82%) | 1.63 (0.34–7.91) | .69 |
| ST/T wave changes | 0 (0%) | 0 (0%) | 0 (0%) | — | — |
| Ectopy during peak exercise or recovery | 2 (4%) | 0 (0%) | 2 (7%) | — | .50 |
| Abnormal stress echo | 1 of 39 (3%) | 0 of 14 (0%) | 1 of 25 (4%) | — | 0.999 |
Odds ratio calculated as odds in the myocardial injury group relative to the no myocardial injury group. Mean difference calculated as myocardial injury minus no myocardial injury. CI, confidence interval; IQR, interquartile range; VE/VCO2, minute ventilation/carbon dioxide production slope; VO2, peak oxygen uptake. —, not applicable.
A-D: Short-axis stack demonstrating patchy areas of LGE in the subepicardium and mid myocardium of the LV inferior wall and septum. Arrows indicate areas of LGE.
A-D: Short-axis stack demonstrating patchy areas of LGE in the subepicardium and mid myocardium of the LV inferior wall and septum. Arrows indicate areas of LGE.
Ambulatory Rhythm Monitoring
Fifty-seven patients (33 with myocardial injury, 24 without) had ambulatory rhythm monitoring at a mean of 8 months after hospitalization, (Table 3). Eight patients (14%) had an intermediate result. One patient did not have myocardial injury during acute illness and had AIVR. Of the 7 with myocardial injury, 1 had AIVR, 4 had ventricular couplets, and 2 had elevated average HR for age. Five patients (9%) had an abnormal result. One patient without myocardial injury during acute illness had ectopic atrial tachycardia. Of the 4 with myocardial injury, 3 had nonsustained ventricular tachycardia and 1 had ectopic atrial tachycardia. No patients had heart block other than the normal finding of Wenckebach during sleep. There were more intermediate and abnormal results in the myocardial injury group, which approached but did not reach statistical significance (P = .09).
Cardiopulmonary Exercise Testing
Forty-six patients (27 with myocardial injury, 19 without) underwent CPET and had sufficient peak HR for analysis and inclusion (Table 3). No patients had ST-segment or T-wave changes with exercise. Two patients, both in the myocardial injury group, had ectopy during CPET. One had premature ventricular complexes (PVCs) during mid and late exercise, and 1 had PVCs during early recovery. Thirty-seven patients had adequate RER to assess functional capacity. Of those with adequate RER, 11 of 15 (73%) without myocardial injury had reduced functional capacity versus 18 of 22 (82%) with myocardial injury, which was not a statistically significant difference.
Thirty-nine patients underwent stress echocardiography. Only 1 patient, who had myocardial injury, had mildly reduced LV function with exercise. There was not a statistically significant difference in occurrence of ectopy, reduced functional capacity, or abnormal stress echocardiogram between the 2 groups.
Discussion
MIS-C is a new disease entity that emerged during the recent SARS-CoV-2 pandemic for which long-term outcomes remain unknown. Understanding the prevalence and persistence of residual cardiovascular pathology is essential in determining long-term prognosis and management. To our knowledge, this is the first study to examine CMR, ambulatory rhythm monitoring, and CPET in concert in MIS-C patients and the first study to compare midterm results of these modalities between patients with and without myocardial injury during acute illness. Our results show that both groups of patients have abnormal findings on follow-up testing, without a statistically significant difference in the prevalence of abnormal findings. This suggests that all patients treated for MIS-C, regardless of the severity of the initial illness, warrant cardiology follow-up.
Elevation of T1, T2, and ECV on CMR can occur in a variety of disease processes, including cardiomyopathy, myocardial ischemia/infarction, myocarditis, and systemic inflammatory processes.23,24 These abnormalities can indicate intracellular and extracellular changes (ECV only reflects extracellular changes), including edema, hyperemia, and fibrosis.23–25 Patients with myocarditis have demonstrated rapid improvement in native T1, T2, and ECV, often within 8 weeks of diagnosis.26,27 LGE is typically thought to represent myocardial scarring, and in myocardial infarction has been well-established to detect extent of disease and to indicate prognosis.26,28–30 However, the persistence and implication of LGE in myocarditis is less clear. Although some studies have demonstrated persistence of LGE in most patients, others have demonstrated resolution in one-third to half, making a correlation with true fibrosis less clear.27,31
In our study, the most common CMR abnormality was elevated ECV, followed by elevated native T1 and presence of LGE. It is unclear whether these findings are reflective of a transient inflammatory process or myocardial fibrosis. Additional CMR studies at later time points will be needed to assess whether the changes resolve. Compared with many other studies, we found an overall higher prevalence of abnormal CMR findings. It is possible that either differences in the virus or in the hosts in our population may have contributed to these findings. Throughout the pandemic, there have been regional and temporal variations in the circulating strains of SARS-CoV-2,32 as well as regional and temporal differences in the clinical presentation of MIS-C.33–36 It is possible that differences in the acute disease course may also manifest in differences in residual pathology. However, on the basis of our study design, we cannot confirm this hypothesis.
To date, few studies have assessed ambulatory rhythm monitoring in patients after treatment of MIS-C. Özgür et al described a series of 17 patients, only 1 of whom had an abnormal finding of 13% PVCs.37 In a study of 20 patients by Gentili et al, there were no findings of ectopy exceeding 50 beats per 24 hours, complex arrhythmia, or elevated average HR. In contrast, in our study, 9% had documented arrhythmia and 14% had an intermediate result. Although there was a higher prevalence of abnormal and intermediate findings in patients with myocardial injury, this did not reach statistical significance. However, it is possible that our study was underpowered to detect a significant difference.
Most of the patients who underwent CPET had reduced functional capacity, a finding that has been documented in 2 other studies.38,39 This is difficult to interpret in this study population because there are multiple potential confounders. Firstly, a significant proportion of the patients were overweight or obese when diagnosed with MIS-C. Many had a further increase in BMI between hospitalization and CPET, which could have been contributed to by being restricted from strenuous exercise. Because no patients had CPET before hospitalization, it is unclear whether some or all may have been deconditioned at baseline. However, these findings further highlight the importance of determining which patients truly need exercise restrictions to prevent new or worsening obesity and other health problems.
Abnormalities on different testing modalities did not frequently cooccur. Twenty-nine patients underwent all 3 tests, and 23 underwent 2 tests. Twelve of 52 (23%) patients had abnormalities on 2 modalities and only 1 of 29 (3%) had abnormalities on all 3. Eighty-five percent of those with >1 abnormality had evidence of myocardial injury during acute illness. Interestingly, none of the patients with nonsustained ventricular tachycardia on ambulatory rhythm monitoring had abnormal CMR findings.
Overall, our results demonstrate residual subclinical cardiovascular pathology in a large proportion of patients after treatment of MIS-C, with no difference in prevalence between patients who had myocardial injury during hospitalization and those who did not. Therefore, for patients who report cardiovascular symptoms after treatment of MIS-C, pediatricians should have a low threshold to refer for further cardiovascular evaluation and workup.
Furthermore, many of the patients in our study population were of racial and/or ethnic minority backgrounds, which put them at higher risk for both coronavirus disease 2019 (COVID-19) and MIS-C.40,41 As previously noted, most of these patients were also overweight or obese, which has also been associated with increased risk for severe COVID-19 illness. Independent of COVID-19, obesity and social determinants of health are risk factors for the development of cardiovascular disease in adulthood.42,43 Thus, in the setting of an additional cardiovascular insult from MIS-C, these patients may warrant longer-term cardiology follow-up during childhood and adolescence.
This was a retrospective study reflecting the experience of a single center. Because patients were referred for and underwent follow-up cardiac studies at different times, not all patients had data for all 3 modalities. This made understanding associations between abnormalities on different modalities more difficult. The risk of type II error should also be considered in comparisons between the groups with and without myocardial injury.
CHLA has treated a large cohort of patients with MIS-C to date, accounting for ∼2.3% of cases nationally. Additionally, our study population appears demographically relatively similar to those of several other published studies assessing follow-up of patients treated for MIS-C in terms of age, sex, prevalence of overweight/obesity, and representation within the study population of groups that have been disproportionately affected by COVID-19–related illnesses.11–15 This suggests reasonable generalizability of our results; however, it is possible that this may be limited by differences in susceptibility to disease or other, more difficult to measure population differences. We do not have any data to suggest that the findings of our study are generalizable to patients who had COVID-19 but not MIS-C, or to adults who were treated for multisystem inflammatory syndrome in adults.
Conclusions
Lack of long-term data regarding MIS-C makes determining appropriate surveillance and counseling challenging. We found a high prevalence of abnormal findings on midterm follow-up cardiac studies and a lack of significant difference between patients with and without myocardial injury during hospitalization. This suggests that all patients treated for MIS-C warrant cardiology follow-up, regardless of the severity of the initial illness. A significant proportion of our patients had risk factors for the development of premature cardiovascular disease. These patients in particular may benefit from longer-term cardiology follow-up given the additional cardiovascular insult from MIS-C. Because the clinical significance of and whether these findings will persist remains unknown, longer-term follow-up studies are needed.
Dr Zimmerman conceptualized and designed the study, collected data, conducted initial analyses, and drafted the initial manuscript; Dr Shwayder reviewed ambulatory rhythm monitor results; Dr Souza reviewed cardiopulmonary exercise stress tests and stress echocardiograms; Dr Su provided input on study design; Dr Votava-Smith provided input on study design and echocardiographic measurements; Ms Wagner-Lees and Dr Kaneta collected data; Dr Cheng conceptualized and designed the study, reviewed cardiac MRI studies, and conducted initial analyses; Dr Szmuszkovicz conceptualized and designed the study; and all authors critically reviewed and revised the manuscript, approved the final manuscript as submitted, and agree to be accountable for all aspects of the work.
FUNDING: No external funding.
CONFLICT OF INTEREST DISCLOSURES: The authors have indicated they have no conflicts of interest relevant to this article to disclose.
- AIVR
accelerated idioventricular rhythm
- CAA
coronary artery aneurysm
- CHLA
Children’s Hospital Los Angeles
- CMR
cardiac MRI
- COVID-19
coronavirus disease 2019
- CPET
cardiopulmonary exercise test
- ECG
electrocardiogram
- ECV
extracellular volume
- FS
fractional shortening
- HR
heart rate
- LGE
late gadolinium enhancement
- LV
left ventricle
- LVEF
left ventricular ejection fraction
- MIS-C
multisystem inflammatory disease in children
- PVC
premature ventricular complex
- RER
respiratory exchange ratio
- SARS-CoV-2
severe acute respiratory syndrome coronavirus 2


Comments